Саркоидоз легких

В этой статье хочу поделиться опытом врача-нутрициолога Ольги Шершун, которая рассказала про результаты врача-фитизиатара, у которого обнаружили саркоидоз легких…
Врач-фтизиатр высшей категории, с огромным опытом работы заболевает хроническим профессиональным заболеванием. Уходит на пенсию (получает группу инвалидности). Находит для себя Продукт НСП… И начинает свою консультативную деятельность в поликлинике…
ЧТО такое «проф болезни» фтизиатра?
САРКОИДОЗ ЛЕГКИХ
Саркоидоз — это мультисистемное заболевание невыясненной этиологии, характеризующееся образованием неказеозных эпителиоидноклеточных гранулем в различных органах и тканях. Возможность заражения саркоидозом от больного не доказана, однако отмечаются семейные случаи заболевания, которые можно объяснить либо наследственностью, либо действием неблагоприятных факторов окружающей среды.
Замещение лимфоидной ткани гранулёмами приводит к лимфопении…
Полагают, что болезнь развивается при сочетании ингаляции неизвестного патогена окружающей среды и его взаимодействия с иммунной системой человека. Спектр потенциальных патогенов велик и оказывается различным в разных исследования, иногда результаты отрицательные. В этом аспекте изучались Mycobacterium tuberculosis, атипичные микобактерии, множествовирусов, включая вирусы герпетической группы, грибы и микоплазмы.
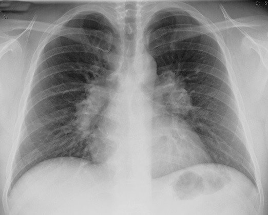
Саркоидоз легких: степени
Саркоидоз легких — первая степень. Первая стадия саркоидоза характеризуется увеличением внутригрудных лимфатических узлов.

Саркоидоз легких — вторая степень. При второй степени саркоидоза наряду с этим определяются выраженные интерстициальные изменения и очаги различной величины преимущественно в средних и нижних отделах лёгких.

Саркоидоз легких — третья степень. В третьей степени саркоидоза выявляются значительный диффузный фиброз в лёгких и крупные, обычно сливные фокусы, а также выраженная эмфизема, нередко с буллёзно-дистрофическими и бронхоэктатическими полостями и плевральными уплотнениями.

Течение подострое или хроническое, нередко волнообразное; отмечаются слабость, субфебрилитет, боль в груди, сухой кашель, снижение аппетита.

Кортикостероиды остаются основой лечения.


По существу. Врач, который в ПОЛНОЙ МЕРЕ понимает, чем он болен, — ИЩЕТ выход из ситуации. И выбирает: Лецитин, Магний, Е-чай, Шарк рей формулу, Флору, Грепайн, Коралловый Кальций, Омега-3…
Итог. Через 1 год «отдыха» на группе инвалидности ВОЗВРАЩАЕТСЯ консультировать в поликлинику.
А). Здоровье УЖЕ ПОЗВОЛЯЕТ… (от группы инвалидности – ОТКАЗ).
Б). ЕСТЬ ЧТО предлагать для оздоровления…
С чем приходят к ДЕТСКОМУ фтизиатру?
1. с вопросом «что означает наша реакция на пробу Манту»?
2. с вопросом «что делать»?

Что означает реакция на пробу Манту?
ТОЛЬКО ФТИЗИАТР решает: это аллергия (не связанная с туб инфицированием) или это Туб инфекция.
Рекомендует туб инфицированным и часто болеющим детям:
Кальций!!!
Железо!!!
Лецитин!!!
Супер Комплекс или Смарт Мил
Флору!!!
Само собой – Серебро, Хлорофилл, Лив Гард…
Все эти полезные вещества ЖИЗНЕННО ВАЖНЫ! И это понял еще один Очень Хороший Врач и уже почти здоровый, работающий с полной нагрузкой Очень Хороший Человек.
Дышите легко и свободно!
